Konya
Parçalı bulutlu
6°
Aksaray
Kapalı
10°
Karaman
Kapalı
6°
Ara
reklam
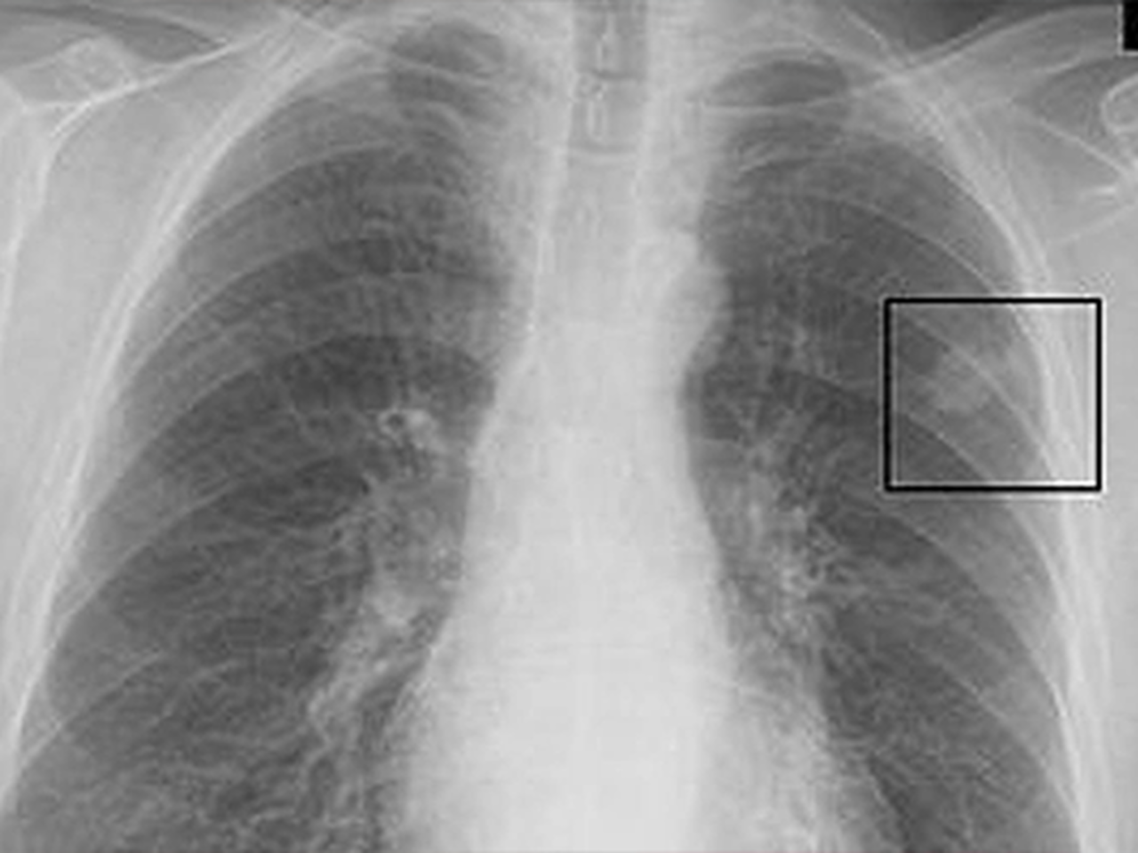
Anadolu'da Bugün Sağlık Uzmanından uyarı! “Akciğerimde leke var” diyenler dikkat

Uzmanından uyarı! “Akciğerimde leke var” diyenler dikkat

Özel Konya Farabi Hastanesi Göğüs Hastalıkları Uzmanı Doç. Dr. Tarkan Özdemir, akciğer filminde görülen “lekelerin” ne anlama geldiğini anlatarak vatandaşlara önemli uyarılarda bulundu.

MUHABİR: Fatih Talayhan
Okunma Süresi: 2 dk

Özel Konya Farabi Hastanesi’nde görev yapan Göğüs Hastalıkları Uzmanı Doç. Dr. Tarkan Özdemir, halk arasında sıkça sorulan “Akciğerimde leke var, ne yapmalıyım?” ve “Akciğer filminde leke olması ne anlama geliyor?” sorularına açıklık getirdi.

Doç. Dr. Özdemir, akciğer filminde görülen “leke” ifadesinin tıpta “nodül” olarak tanımlandığını belirterek, “Nodül, akciğer dokusundan farklı yapıda ve görüntüde olan alanları ifade eder. Akciğerde nodül oluşmasının birçok sebebi vardır. En sık karşılaşılan nedenler geçmişte geçirilen enfeksiyonlardır. Enfeksiyonlar akciğerde iz bırakabilir ve nodül şeklinde görüntü verebilir” dedi.

Takip edilmesi gereken nodüller var

Tüm nodüllerin tehlikeli olmadığını vurgulayan Özdemir, asıl önemli olanın büyüme potansiyeli olan nodüller olduğunu söyledi.

“Bizim için risk taşıyan nodüller, zaman içerisinde boyut değiştiren ve büyüme eğilimi gösteren nodüllerdir. Bu nedenle her nodül mutlaka hekim kontrolünde değerlendirilmelidir” diye konuştu.

Sigara içenler daha dikkatli olmalı

Bazı gruplarda riskin daha yüksek olduğuna da dikkat çeken Doç. Dr. Özdemir, şu uyarılarda bulundu:

“Özellikle ağır sigara içicilerde — bu durum 20 paket/yıl olarak tanımlanır — ve ailesinde akciğer kanseri öyküsü bulunan kişilerde nodüllerin düzenli takip edilmesi gerekir. Uluslararası rehberler doğrultusunda bu takipler yapılmakta ve hangi nodülün nasıl izleneceğine hekimler karar vermektedir.”

Yorumlar
* Bu içerik ile ilgili yorum yok, ilk yorumu siz yazın, tartışalım *