Konya
Parçalı az bulutlu
13°
Aksaray
Parçalı az bulutlu
10°
Karaman
Az bulutlu
8°
Ara

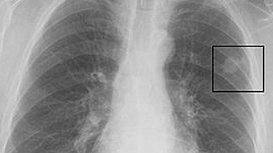
Akciğerde Leke Haberleri

Son Dakika Akciğerde Leke Haberleri

Bu sayfada güncel gelişmeleri takip edenler için Akciğerde Leke ile ilgili en son gelişmeler ve son dakika Akciğerde Leke haberleri sunulmaktadır. Akciğerde Leke videoları, Akciğerde Leke fotoğrafları ve Akciğerde Leke haberleri 

Güncelleme Tarihi: